透明だから、気づかれない。
「短期間・低価格」で叶える、理想の歯並び。

食事も歯磨きもいつも通り。
最新の3Dスキャナー「iTero」導入で、治療前のシミュレーションも可能です。

インビザラインメインビジュアル画像

インビザライン(マウスピース矯正)が選ばれる
- 5つの理由 -

  • 01 透明で目立ちにくい

    薄く透明な素材を使用しているため、装着していても周囲からほとんど気づかれません。接客業や営業職の方にも選ばれています。

  • 02 取り外し可能!食事を思い切り楽しめる

    お食事や歯磨きの際はご自身で取り外すことができます。従来のワイヤー矯正のように食べ物が詰まるストレスがなく、お口の中を清潔に保てます。
    ※効果をしっかり出すため、1日20時間以上の装着をお願いしております。

  • 03 痛みを感じにくい

    少しずつ歯を動かすよう計算されたマウスピースを交換していくため、従来の矯正装置に比べて痛みが大幅に抑えられます。

  • 04 短期間・低価格でスタートできる

    前歯のズレや隙間など、気になる部分に特化した「部分矯正」にも対応。最短3ヶ月〜、費用も全体矯正より抑えて始められます。「まずは見えるところだけ綺麗にしたい」という方に最適です。

  • 05 金属アレルギーの方も安心

    金属を一切使用しないプラスチック製のため、金属アレルギーの心配がありません。

有馬デンタルクリニックならではの
- 4つの強み -

最新スキャナー「iTero」で、
事前に仕上がりをシミュレーション

苦しい型取り(粘土のようなもの)は不要です。ペン型のカメラでお口の中をスキャンするだけで、治療後「自分の歯並びがどう綺麗になるか」を3D画像で事前にご確認いただけます。

治療代金は
「調整料込み」で安心

当院のインビザライン費用には、毎月の調整料(再診料)が含まれています。「通院のたびに追加費用がかかる」という心配がなく、明確な料金体系です。

土日も診療!
忙しくても通いやすい

平日お忙しい方でも無理なく治療を続けられるよう、土日も診療を行っております。

一般歯科併設だからできる
「トータルケア」

矯正専門医院とは異なり、むし歯や歯周病の治療、親知らずの抜歯なども当院で一貫して対応可能です。治療中のトラブルにも迅速に対応いたします。

症例紹介

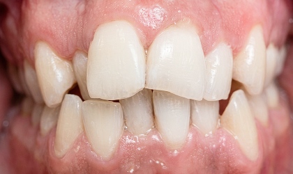
  • 症例1

    Before

    After

    治療案内 ローテーションの改善
    治療期間 6ヶ月
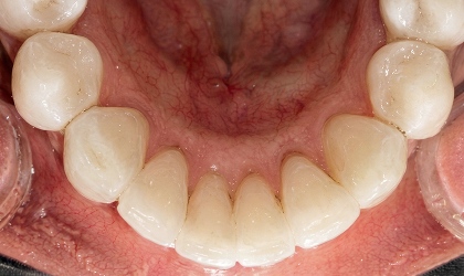
  • 症例2

    Before

    After

    治療案内 ローテーションの改善
    治療期間 6ヶ月
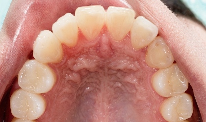
  • 症例3

    Before

    After

    治療案内 歯列の拡大・縮小
    治療期間 6ヶ月
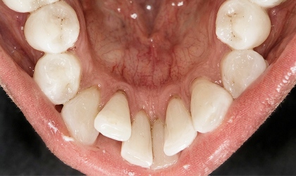
  • 症例4

    Before

    After

    治療案内 挺出・圧下
    治療期間 6ヶ月
  • 症例5

    Before

    After

    治療案内 軽度のスペースの閉鎖
    治療期間 6ヶ月
  • 症例6

    Before

    After

    治療案内 2歯までの前歯部クロスバイト
    治療期間 6ヶ月

    治療の流れ

    1. STEP.01

      無料相談・カウンセリング・iTeroによる3Dスキャン

      無料相談・カウンセリングイメージ画像

      歯並びのお悩みをお伺いします。
      iTeroでお口の中をスキャンし、その場で矯正後のシミュレーション画像を作成いたします。

    2. STEP.02

      精密検査・口腔内写真を撮影

      お口の状態を詳しく把握するため、精密検査と写真撮影を行います。
      【精密検査料:15,000円(税込)】

    3. STEP.03

      治療計画・お見積もりのご提示

      治療計画・お見積もりのご提示イメージ画像

      ゴールと期間、費用にご納得いただいてからスタートします。

    4. STEP.04

      マウスピースのお渡し・治療開始

      マウスピースのお渡し・治療開始イメージ画像

      装着方法やお手入れについてご説明します。(1日20時間以上の装着をお願いします)

    5. STEP.05

      定期チェック

      1ヶ月ごとにご来院いただき、歯の動きを確認しながら新しいマウスピースをお渡しします。

    6. STEP.06

      保定期間

      歯並びが整った後は、後戻りを防ぐためのリテーナー(保定装置)を装着します。

    費用について

    相談料 無料
    検査代 ¥15,000(税込)
    インビザライン治療費 ¥297,000~550,000(税込)

    ※お支払い方法:現金、クレジットカード(分割払い可能)

    ※価格は税込み表記です。

    よくあるご質問

    治療中は痛いですか?

    従来のワイヤー矯正と比べ、痛みが少ないのが特徴です。新しいマウスピースに交換した直後(2〜3日)は少し締め付けられるような感覚がありますが、徐々に慣れていきますのでご安心ください。

    1日にどのくらい装着する必要がありますか?

    効果をしっかり出すため、1日20時間以上の装着をお願いしております。お食事と歯磨きの時間以外は、就寝中も含めて基本的に装着していただきます。

    食事の制限はありますか?

    マウスピースをご自身で取り外してお食事ができるため、制限は一切ありません。 固いものや粘着性のあるもの(ガムやお餅など)も、普段通り楽しんでいただけます。ただし、装着したままでの飲食(水以外)は、むし歯や装置の着色の原因になるためお控えください。

    矯正の途中でむし歯になったらどうなりますか?

    当院は一般歯科も併設しておりますので、万が一むし歯になってしまった場合も当院でスムーズに治療が可能です。また、マウスピースは取り外して隅々まで歯磨きができるため、矯正中もむし歯になりにくいというメリットがあります。

    通院のたびに追加費用はかかりますか?

    いいえ、かかりません。当院のインビザライン治療費には毎回の調整料(処置料)が含まれております。通院のたびに追加でお支払いが発生することはありませんので、ご安心ください。

    無料矯正相談のご予約

    appointment

    まずは無料の3Dシミュレーションで、あなたの新しい笑顔を見てみませんか?

    tel.03-3681-1118
    (受付時間:9:30〜18:30)